Public Collections
CANP
2024
Case 8
Thumbnail View
List View
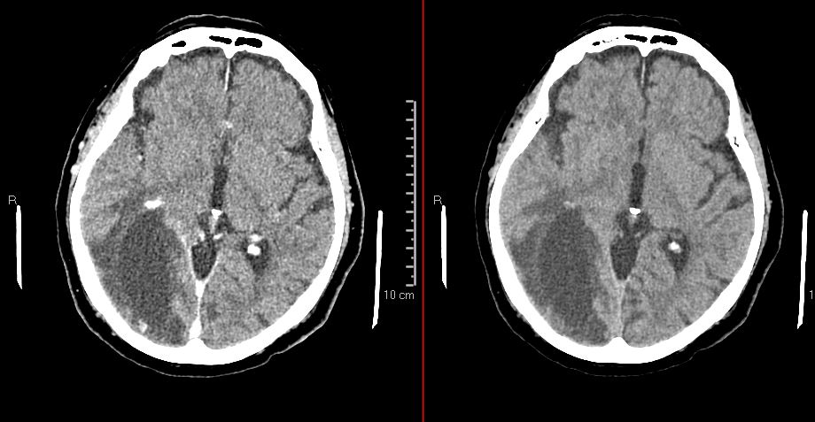
CT Scan.JPG
H&S Slide.svs
New folder name:
New folder name: